Our Commitment Highest Quality Care

Goal 100% Students Satisfaction

Contact Us

Make an Query

Reactive epithelium

Reactive epithelial cells Pap stain

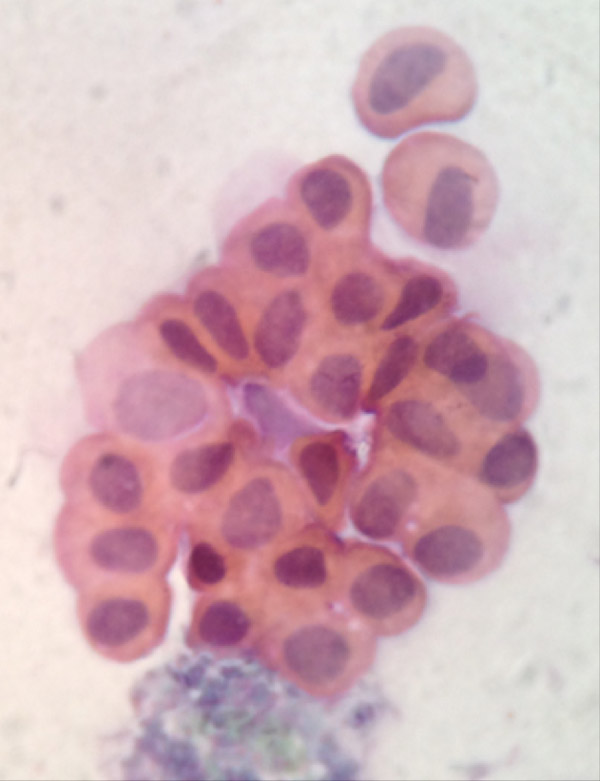
Reactive epithelial cells seen as papillaroid cluster Pap stain

Reactive epithelial cells


Xanthogranulomatous Cholecystitis

Histiocytes mixed with inflammatory cells MGG stain

Gross of xanthogranulomatous cholecystitis with contracted gall bladder and large stone

Sheets of foam cells


Adeno Carcinoma Gall bladder

Cell block showing malignant cells in acinar pattern

Gross resection showing ill defined firm whitish mass in gallbladder

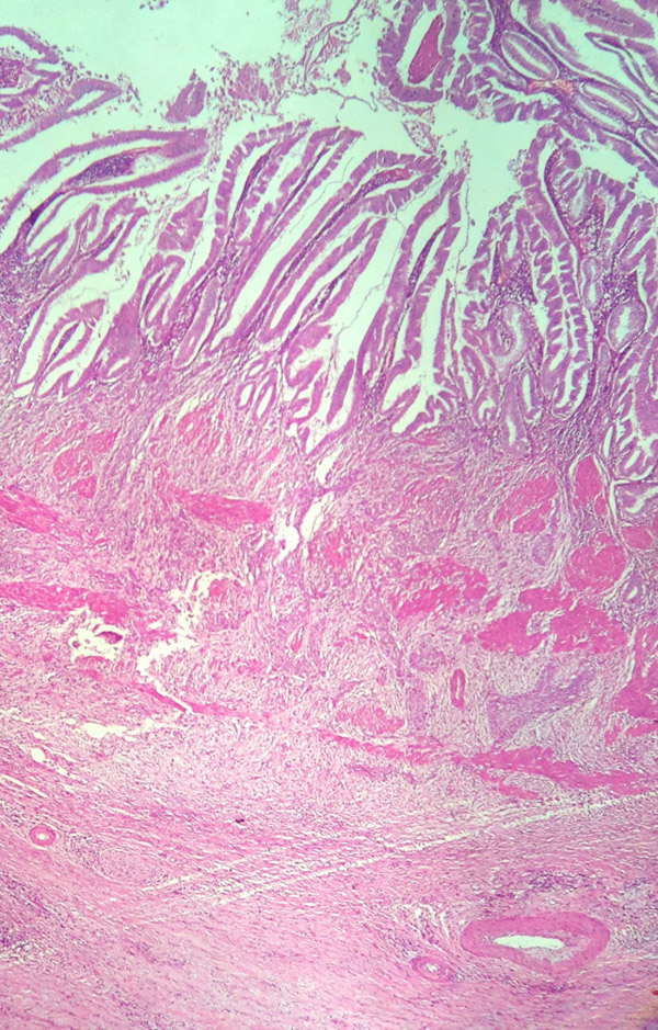
Histology showing Gallbladder adenocarcinoma

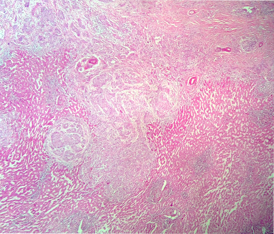
Histology showing Gall bladder Adenocarcinoma infiltrating the liver