Our Commitment Highest Quality Care

Goal 100% Students Satisfaction

Contact Us

Make an Query

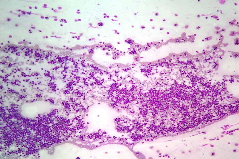
Reactive Lymph Node

Reactive lymph node with small and transformed lymphocytes MGG stain

Reactive subcarinal lymph node lymphoid cells with occasinal squamous cells MGG stain

Granulomatous Lymphadenitis

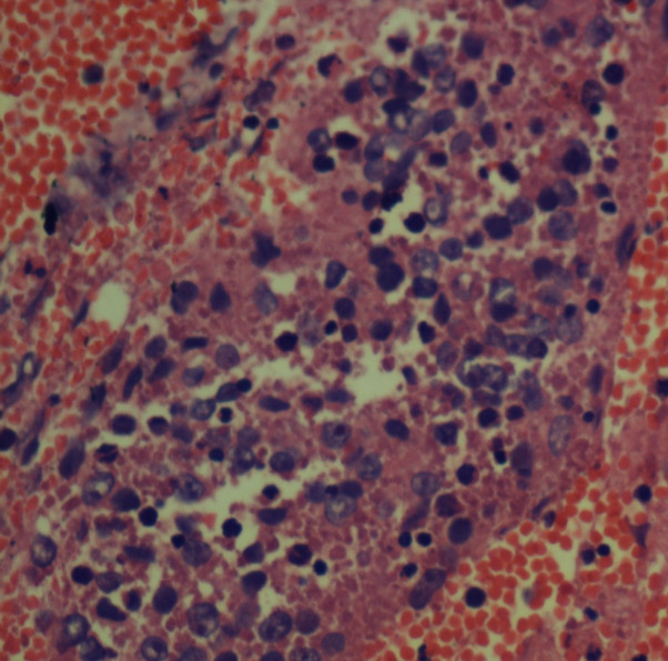
Granuloma lymph node MGG stain

Granuloma with epithelioid cells MGG stain

Epithelioid cell granuloma MGG stain

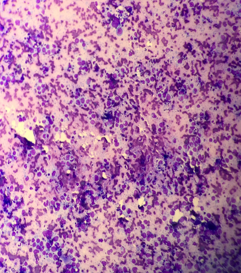
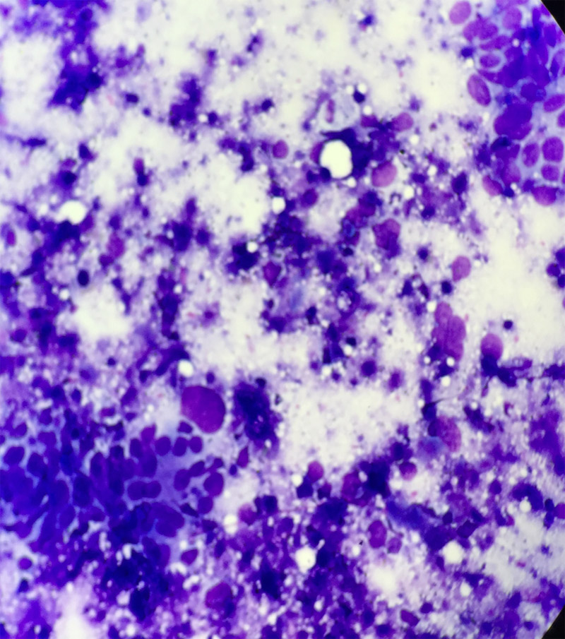
Caseating lymph Node likely tubercular

Caseating dirty background with scattered giant cells MGG

Epithelioid granuloma MGG stain

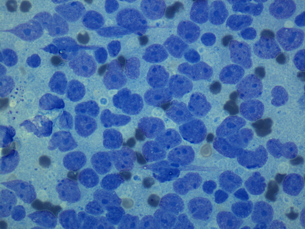
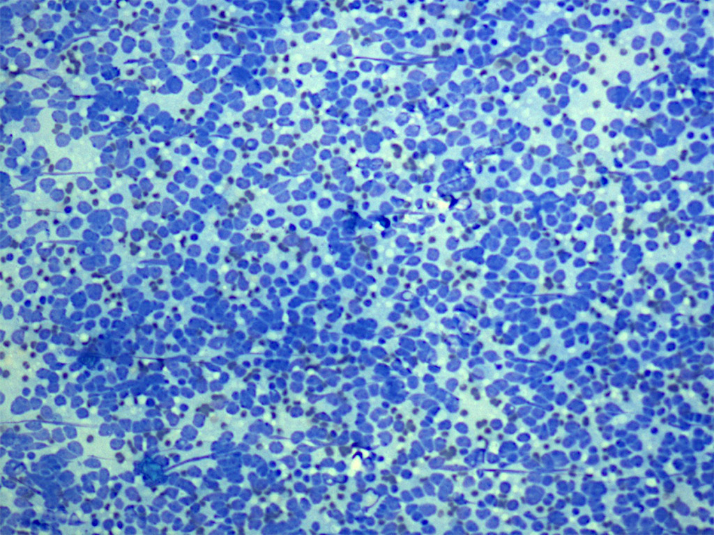
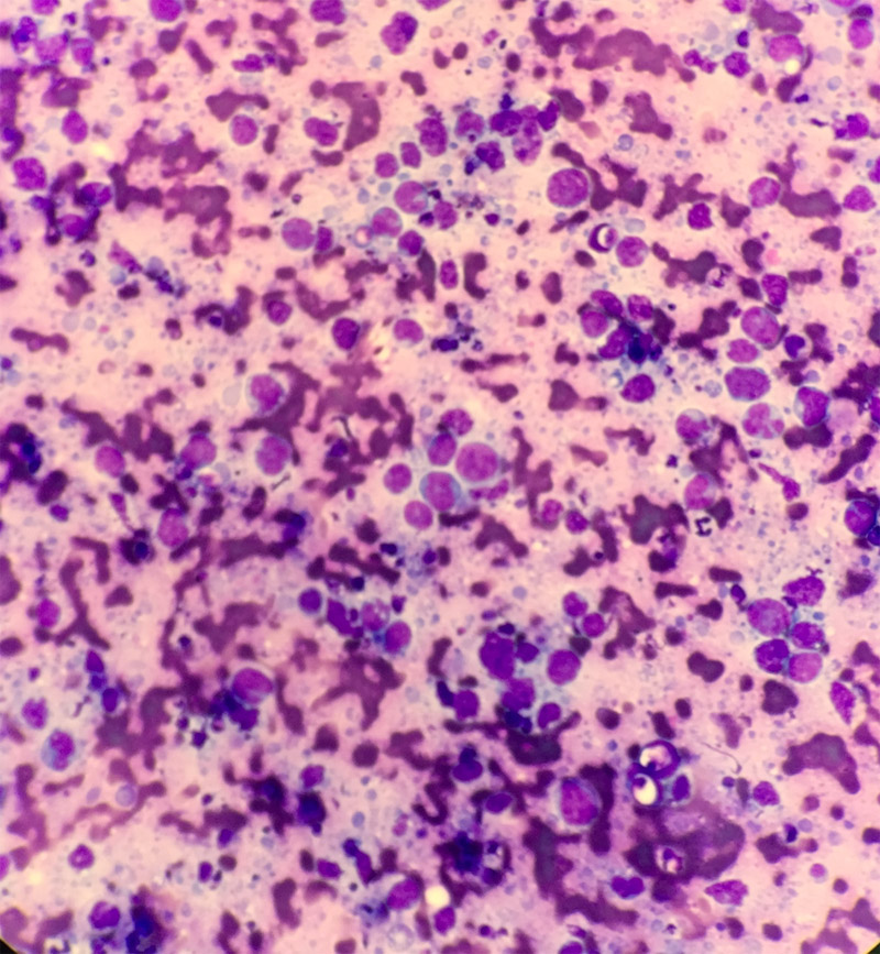
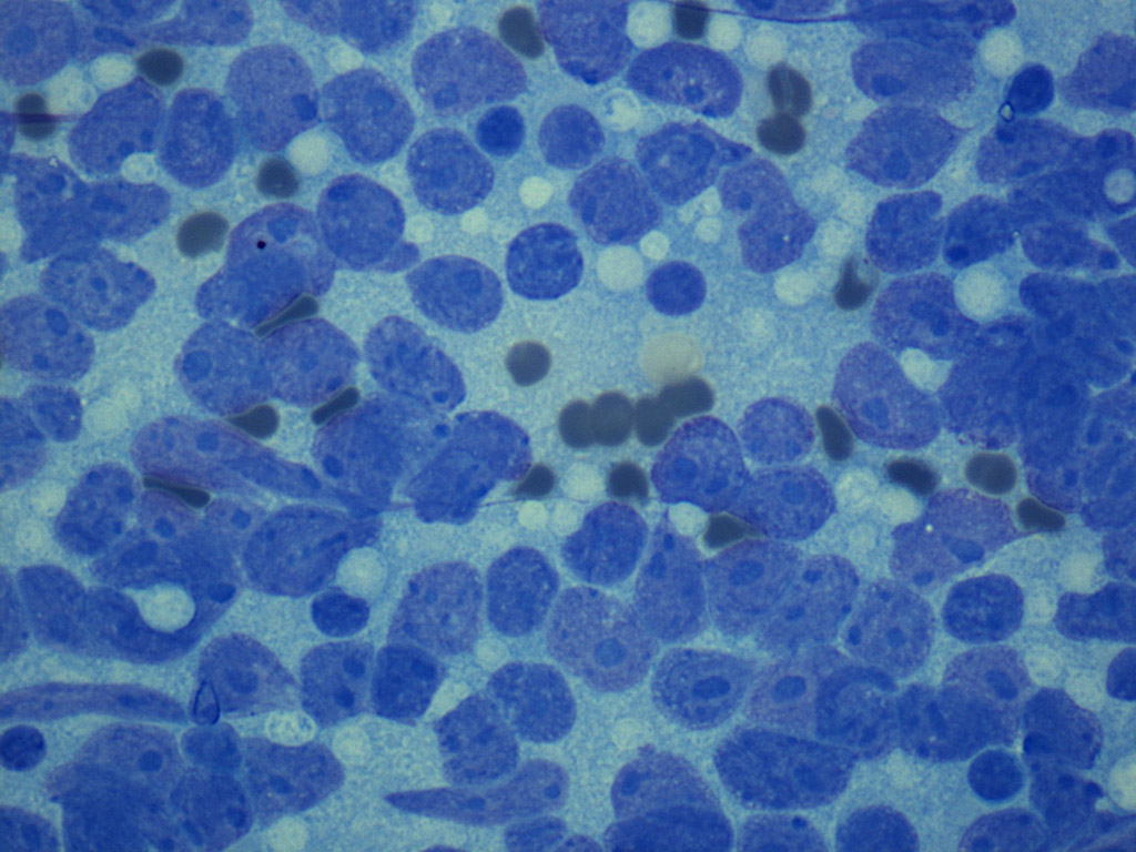
Non Hodgkins lymphoma

Monomorphic cells lymph node FNA MGG stain

Large monomorphic cells with prominent nucleioli Diff stain

Monomorphic cells lymph node FNA MGG stain

Cell block showing large cells

Large monomorphic cells Diff stain

IHC CD 20 positive in large cells

Large monomorphic cells with prominent nucleioli Diff stain

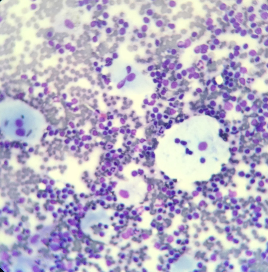
Hodgkins Lymphoma

Polymorphous cell polpulation MGG

Polymorphous cell polpulation MGG

Cell Block lymph node aspirate

Cell Block lymph node aspirate show large binucleate cell with owl's eye inclusion

Cell Block lymph node aspirate IHC CD15

Cell Block lymph node aspirate IHC CD 30 Membranous with perinuclear dot positivity

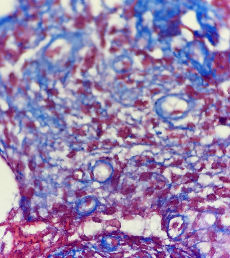
Cell Block lymph node aspirate MT x 40

Metastatic Carcinoma

Metastatic carcinoma lymph node with lung primary MGG stain