Our Commitment Highest Quality Care

Goal 100% Students Satisfaction

Contact Us

Make an Query

Squamous cell carcinoma lung

FNA from SOL Lung showing scattered atypical squamous cells MGG stain

FNA from SOL Lung with malignant squamous cells MGG stain

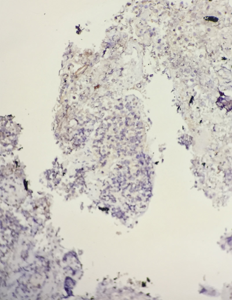
Cell block Lung SOL IHC P63.

FNA from SOL Lung tadpole squamous cell MGG Stain

FNA from SOL Lung with dirty necrotic background MGG stain

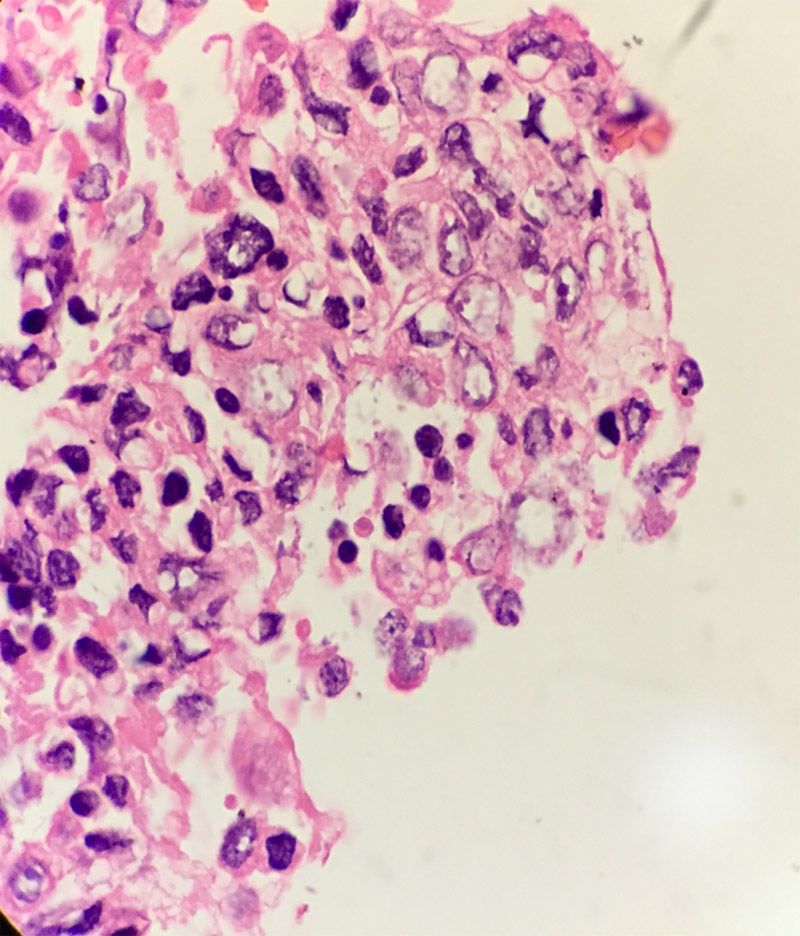
Cell block Lung SOL showing atypical squamous cells

Cell block Lung SOL ihc ck5_6

IHC p63 positive in neoplastic cells

Cell block Lung SOL TTF1. png