Interesting Case of the Month - (IGHP, ICOM) - December
december 2025
Clinical History-
43-year-old malek/c/o CA pancreas biopsy proven. Underwent Whipple’s resection for ca pancreas. Intraoperative a nodule found on liver surface. Sent for frozen section and histology.
From the images below identify the likely disease?
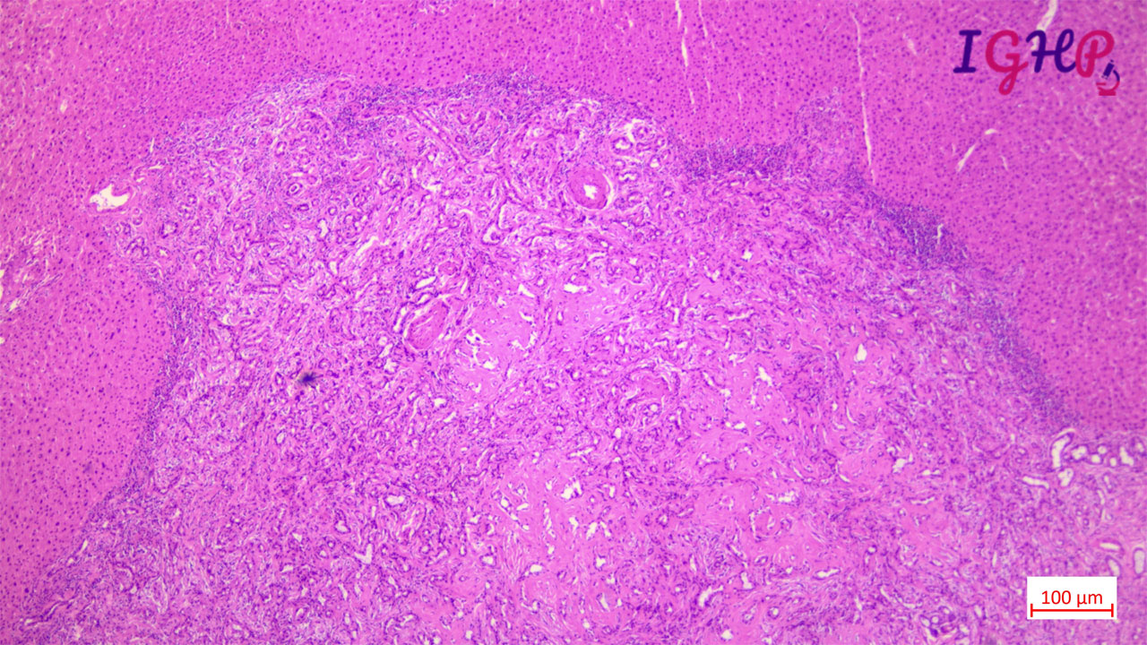
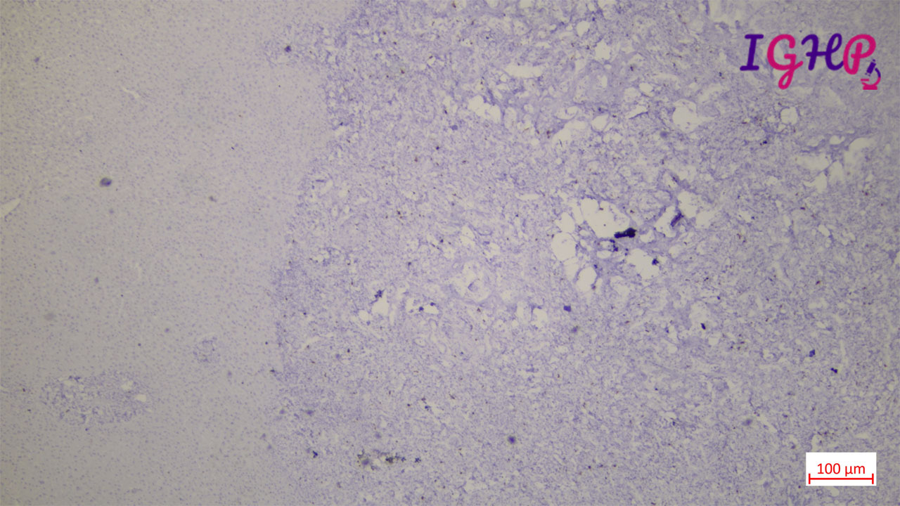
Frozen Section-
Frozen section examined showed a lesion with proliferated ductules
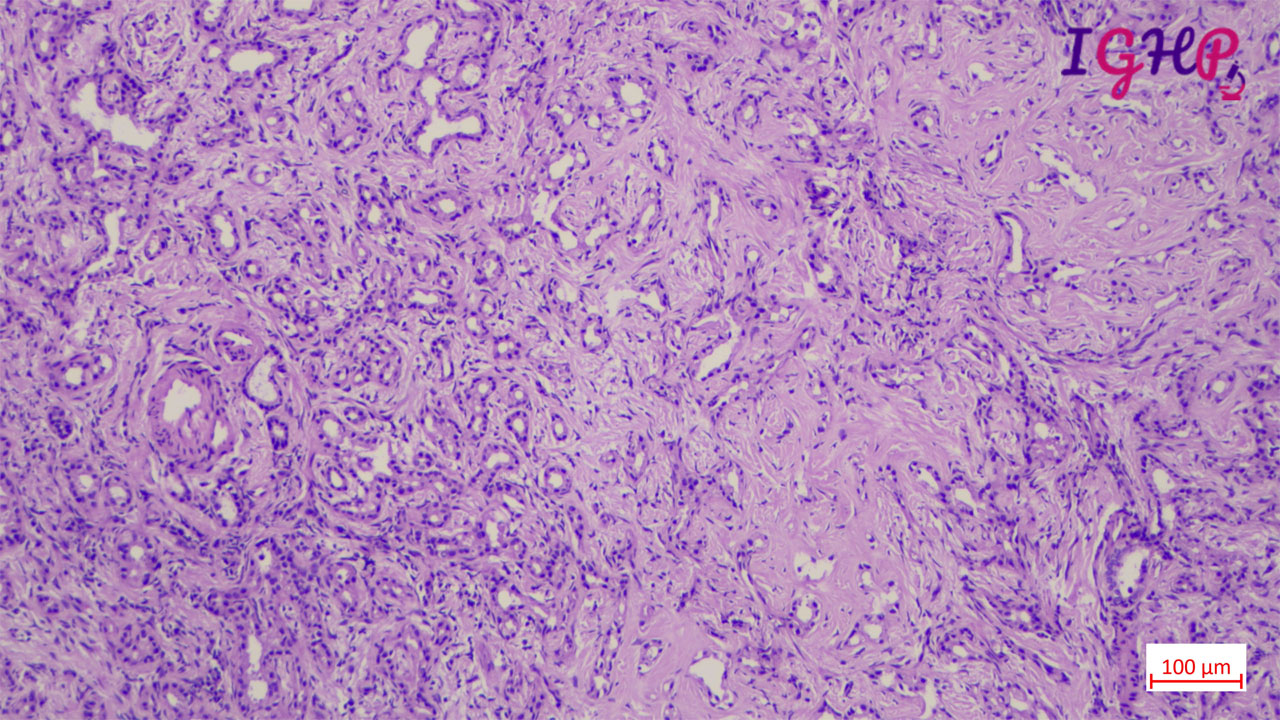
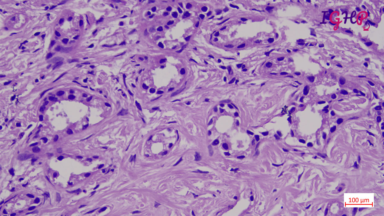
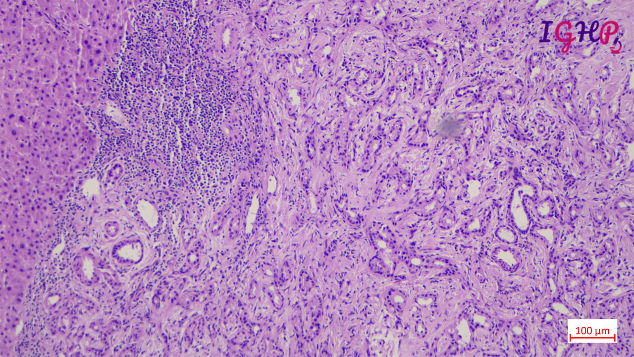
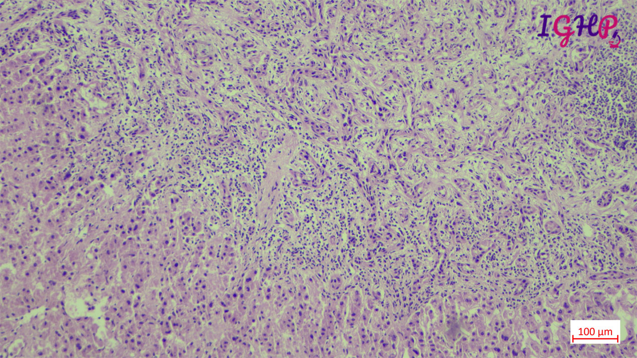
Microscopic Images-
Microscopic examination showed an unencapsulated proliferation of uniformly spaced ductules lined by bland, cuboidal epithelium in a collagenous stroma. The architecture seems non-infiltrative, with evidence of entrapped native portal tracts present within the lesion itself.
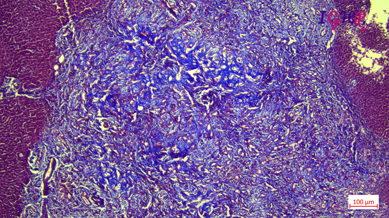
Special Stains Performed-
MT Stain highlighted areas of fibrosis
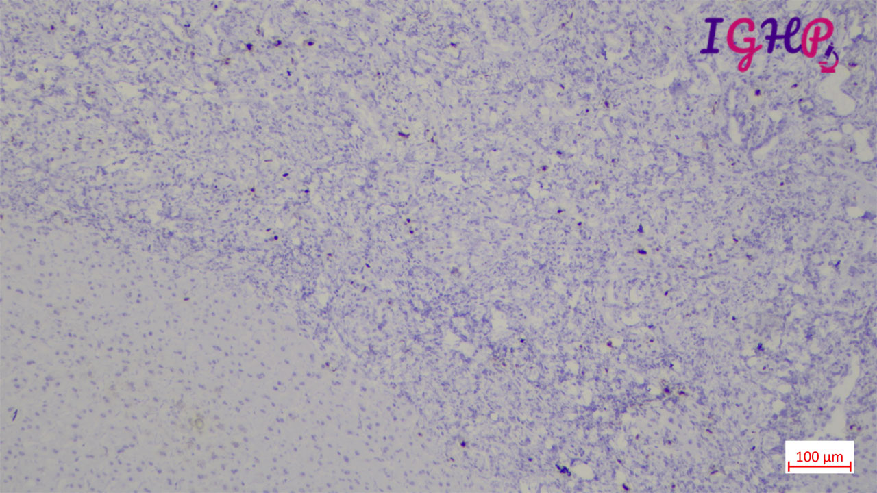
Immunohistochemistry Performed-
Ki67 IHC showed similar expression as surrounding ductulesin portal tracts
Diagnosis-
Metastatic carcinoma
Sorry! Your answer is incorrect
Secondary sclerosing cholangitis
Sorry! Your answer is incorrect.
Bile duct adenoma
Congratulations! Your answer is correct
BDA is an important diagnosis in frozen section examination. This needs to be differentiated from malignant nodules. Peripheral subcapsular location, presence of portal tracts within the lesion, inflammatory infiltrate and mild atypia favours a bile duct adenoma. Immunohistochemistrywith lowKi67 and wild type p53 may be used as adjunct.
Von Meyenberg Complex
Sorry! Your answer is incorrect.