Interesting Case of the Month - (IGHP, ICOM) - September
september
Clinical History-
12-year-old female child with abdominal pain underwent Endoscopic Ultrasound which show presence of multiple conglomerate mediastinal lymph nodes.EUS Guided biopsy was taken from the node.
Endoscopic USG-
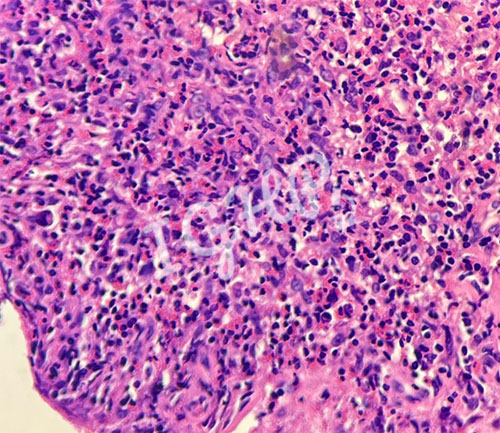
Microscopic Images-
Immunohistochemistry-
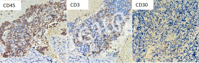
IHC for CD45, CD3, and CD30
A. Hodgkins Lymphoma with granulomatous reaction-
Congratulations! Your answer is correct.
HL is rarely associated with necrotising granuloma seenin around 1.8% cases.The Hodgkins cells are usually negative on CD45 IHC with rosetting by CD3 cells and perinuclear dot positivity on CD30 IHC and variably for CD15. The possible pathogenesis includes T cell mediated immune response against the tumor cells, tumor antigen stimulation causing fibrosis followed by granuloma formation.
B. Tubercular Lymphadenitis
Sorry! Your answer is incorrect
C. Sarcoidosis
Sorry! Your answer is incorrect
D. Metastatic Carcinoma
Sorry! Your answer is incorrect