Interesting Case of the Month - (IGHP, ICOM) - September
september 2025
Clinical History-
35-year-old malewithabdominal pain, associated with fever with chills off and on and nausea and vomiting. AFP- normal, Serology- for viral markers negative. CBC showed eosinophilia.
From the images below identify the likely disease?
Radiology-
USG-
Liver showed multiple small lesions largest measuring 3.0 x 2.8 cm.
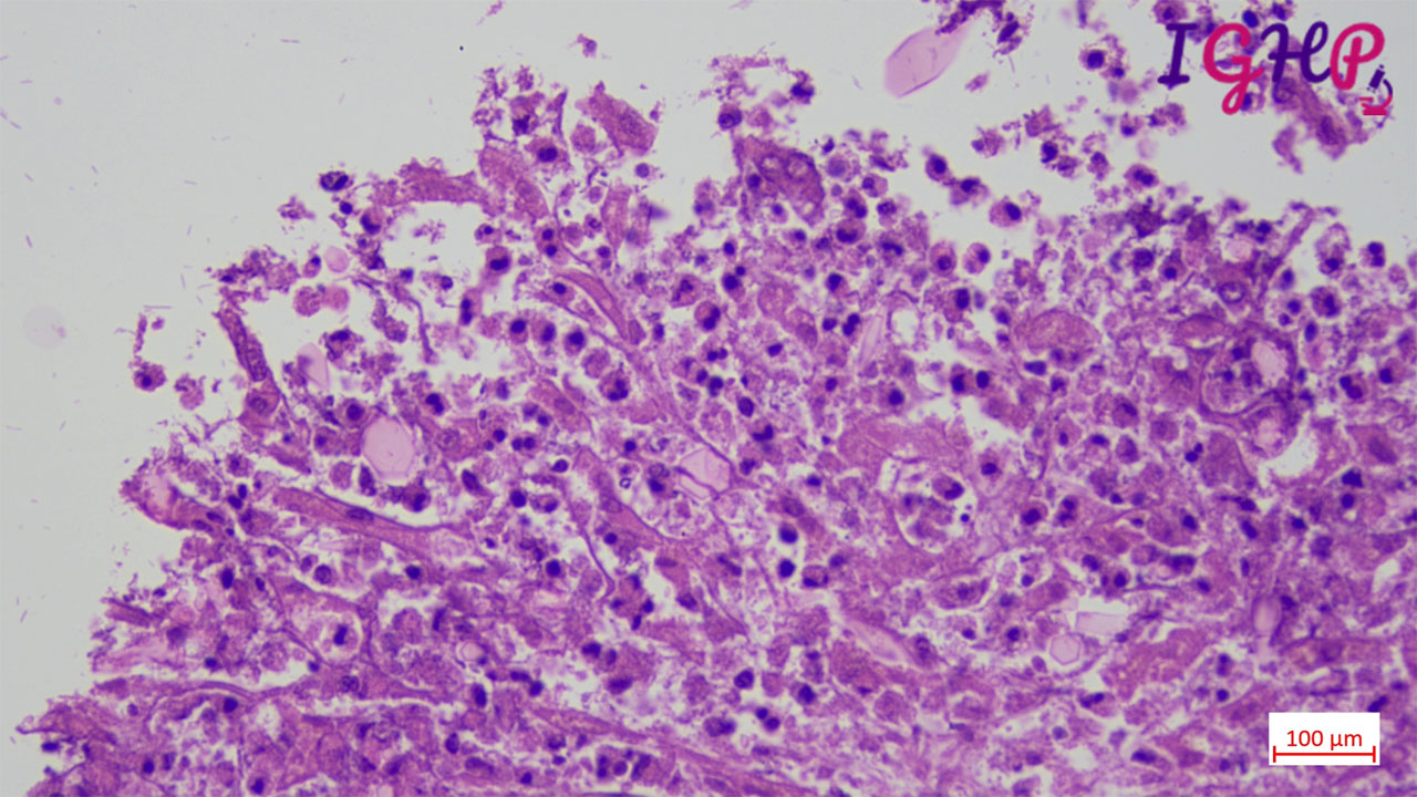
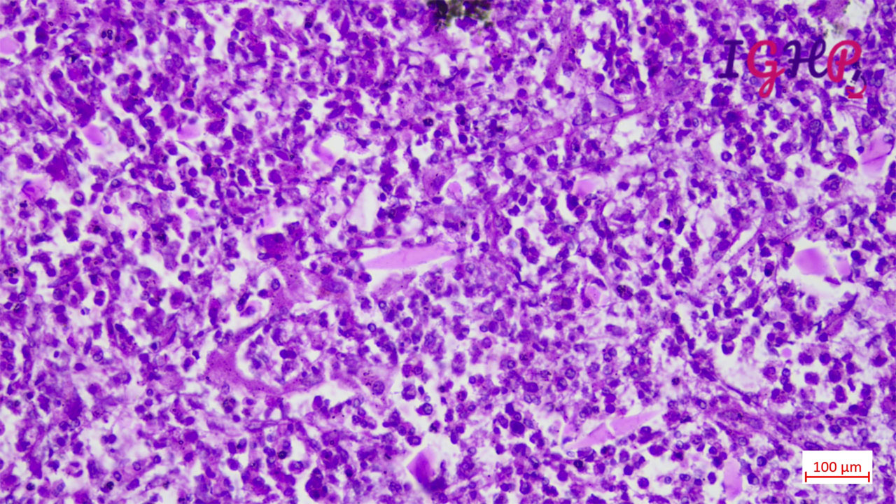
Microscopic Images-
Microscopic examination showed eosinophilic abscess with multiple cholesterol clefts.
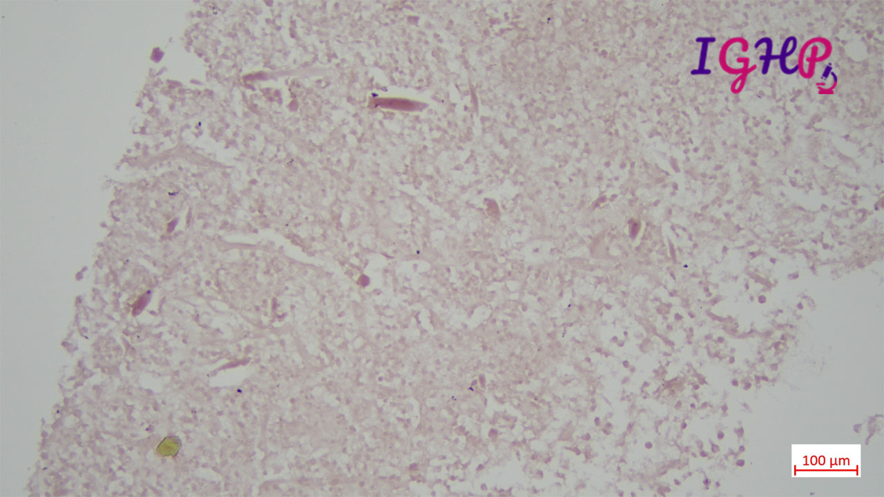
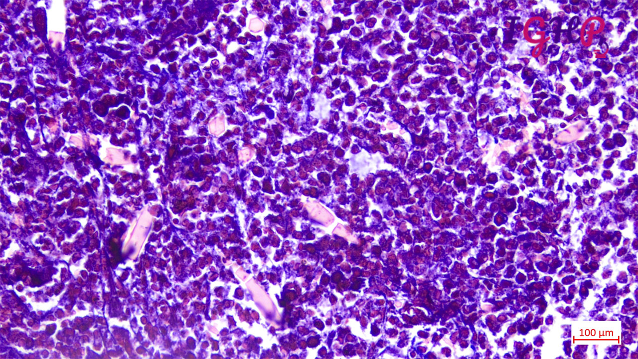
Special Stain Performed--
PAS, MT and Orcein stains performed showed presence of CharcotLayden crystals.
Diagnosis-
Eosinophilic granuloma
Congratulations! Your answer is correct
Visceral larva migrans (VLM) is a parasitic (roundworm) infestation caused by Toxocaracanis and Toxocaracati of the genus Toxocara.Liver biopsy is characterized by eosinophilic granulomas and the presence of Charcot-Leyden crystals, which are formed from the breakdown of eosinophils.
Granulomatous Hepatitis
Sorry! Your answer is incorrect.
Cholangiocarcinoma
Sorry! Your answer is incorrect.
Schistosomiasis
Sorry! Your answer is incorrect.