Interesting Case of the Month - (IGHP, ICOM) - January
january 2025
Clinical History-
29-year-old male with abdominal pain andmalena single episode. Underwent EUS guided biopsy from the head mass.
From the images below identify the likely disease.
On endoscopy-
UGIE- Large umblicated and ulcerated lesion in Duodenum.
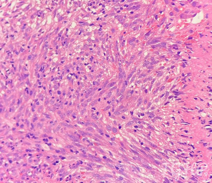
Microscopic Images-
Histology images showed bits of ulcerated small bowel mucosa with presence of proliferated spindle cells in ulcer bed.
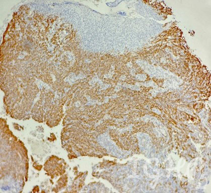
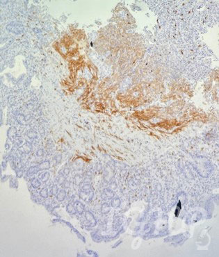
Immunohistochemistry Performed-
Immunohistochemistry performed showed the atypical spindle cells are positive for CD34, CD117 and DOG1. Ki67 index is 5-6%.
Diagnosis-
Granulomatous Duodenitis
Sorry! Your answer is incorrect
Gastrointestinal Stromal Tumor
Congratulations! Your answer is correct.
Gastrointestinal Stromal Tumours are usually found in stomach (50% to 60%), followed by the small intestine (30% to 40%). GI Bleeding is most common presenting complaint. The spindle cells are positive for CD117(C-KIT protein), a tyrosine kinase growth factor receptor along with DOG1 and CD34.
Benign Ulcer
Sorry! Your answer is incorrect
Leiomyoma
Sorry! Your answer is incorrect