Interesting Case of the Month - (IGHP, ICOM) - February
february 2026
Clinical History-
68-year-old malewith h/o pain abdomen with off and on pain
From the images below identify the likely disease?
Radiology-
CECT Abdomen-
Mass in head of pancreas measuring 4.5 x 4.0 x 3.5 cm
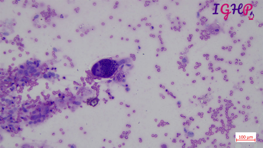
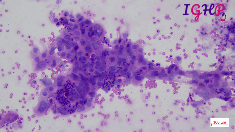
Microscopic Images-
Microscopic examination showed from the cytology smears revealed cellular smears, showing loose clusters and isolated malignant cells characterized by nuclear
enlargement, pleomorphism, and hyperchromasia. A few multinucleated giant cells and occasionalbizzarre cells noted. Scanty large atypical cells with features of cellular(polymorphs) cannibalism noted.
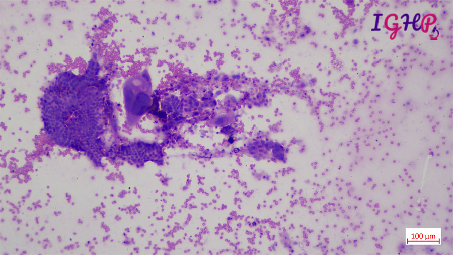
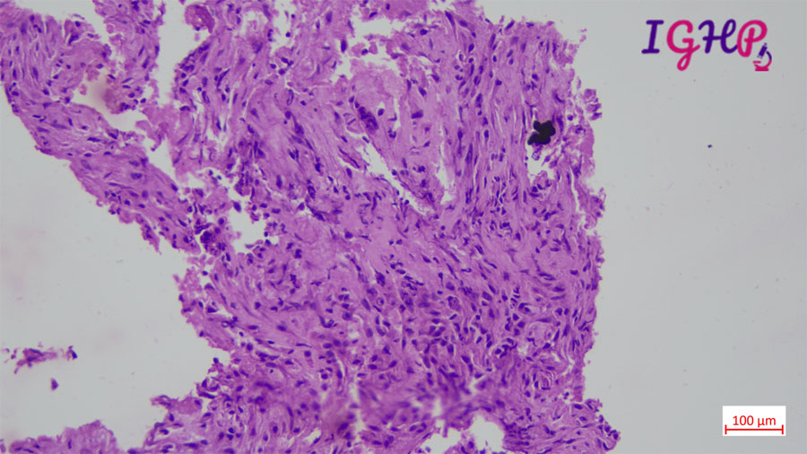
Histology-
Section from the pancreatic biopsy showed scanty large atypical cell in fibro collagenous stroma
Diagnosis-
Anaplastic Carcinoma
Congratulations! Your answer is correct
Anaplastic carcinoma of the pancreas (ACP) is a rare, highly aggressive, and fatal malignancy, often appearing in cytology as highly cellular samples with poorly cohesive, pleomorphic, and giant, spindle, or round cells. Tumor cell cannibalism is described as the ability of tumor cells to cannibalize their siblings as well as cells from the immune system.
Chronic Pancreatitis
Sorry! Your answer is incorrect.
Solid Pseudopapillary Carcinoma
Sorry! Your answer is incorrect
Neuroendocrine Tumor
Sorry! Your answer is incorrect.