ICOM Series: Be the Chosen One! Share Your Best Case and get a chance to Win Free IGHP Membership with a Special Memento!

Contact Us

If you have encountered an interesting case, then be a Knowledge Pioneer! Share Your Expertise and Empower Fellow Members with Your Submission Today!.

Each published case will be acknowledged and is eligible for IGHP ICOM series award.

Make an Query

Interesting Case of the Month - (IGHP, ICOM) - January

january 2026

Clinical History-

43-year-old malepost living donor liver transplant POD 3.5 months post-transplant. Presented with new onset ascites and progressively worsening LFT’s. LFT Total Bili- 18.7 mg/ dl, SGOT-726 U/ L, SGPT- 281 U/L, SAP-781 U/L. Albumin- 2.8 mg/ dl. INR 1.18. Renal parameters and electrolytes are stable. Doppler USG Hepatic artery RI-1.0 with normal venous inflow and outflow.

From the images below identify the likely disease?

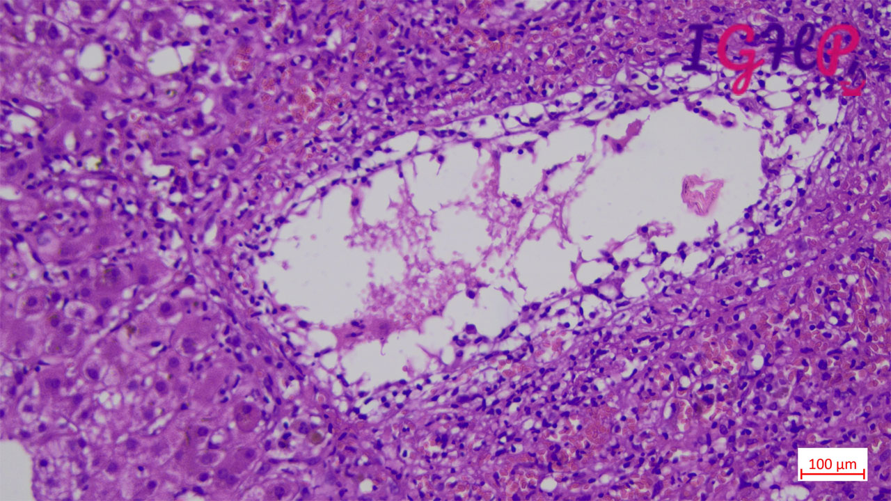
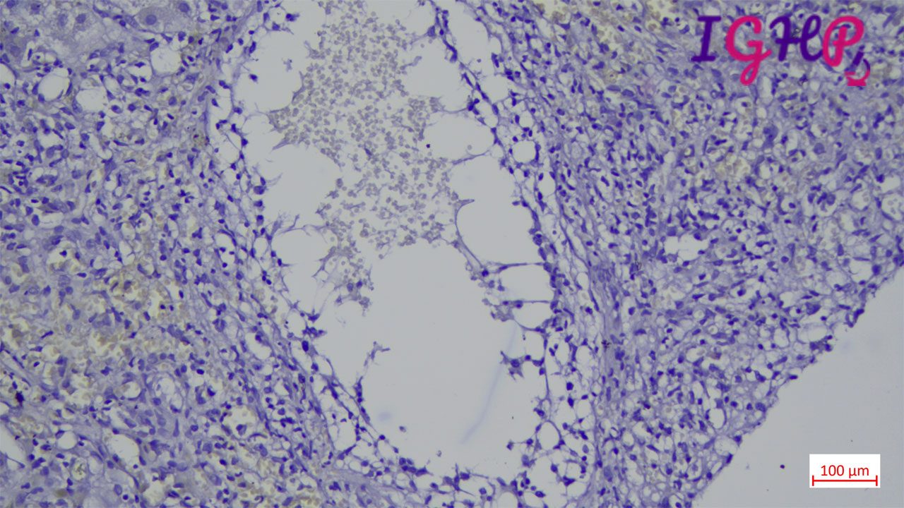
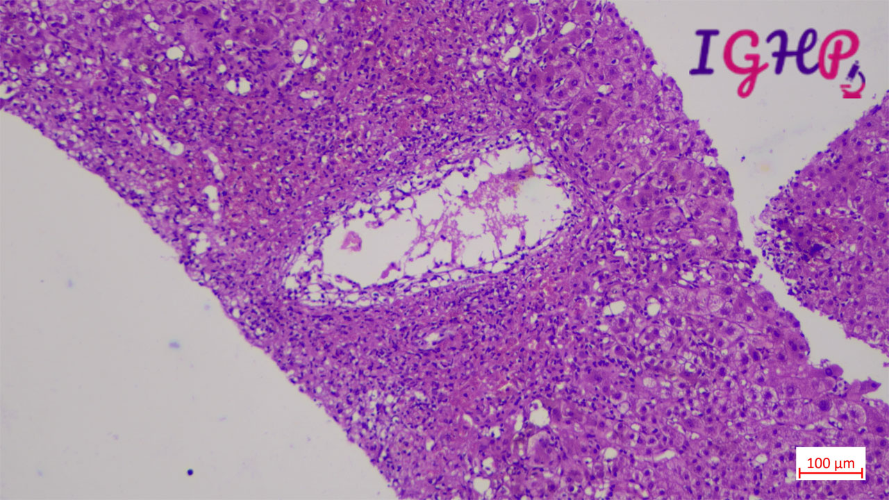
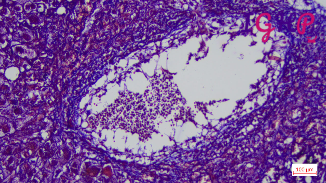
Microscopic Images-

Microscopic examination showed an areas of perivenular hepatocyte loss with prominent central perivenulitis.

Special Stains Performed-

MT and Rhodanine stains performed no increase in fibrosis or copper stores.

Diagnosis-

Biliary Cholangiopathy
HVOTO
Hepatic artery thrombosis
Late Acute Rejection